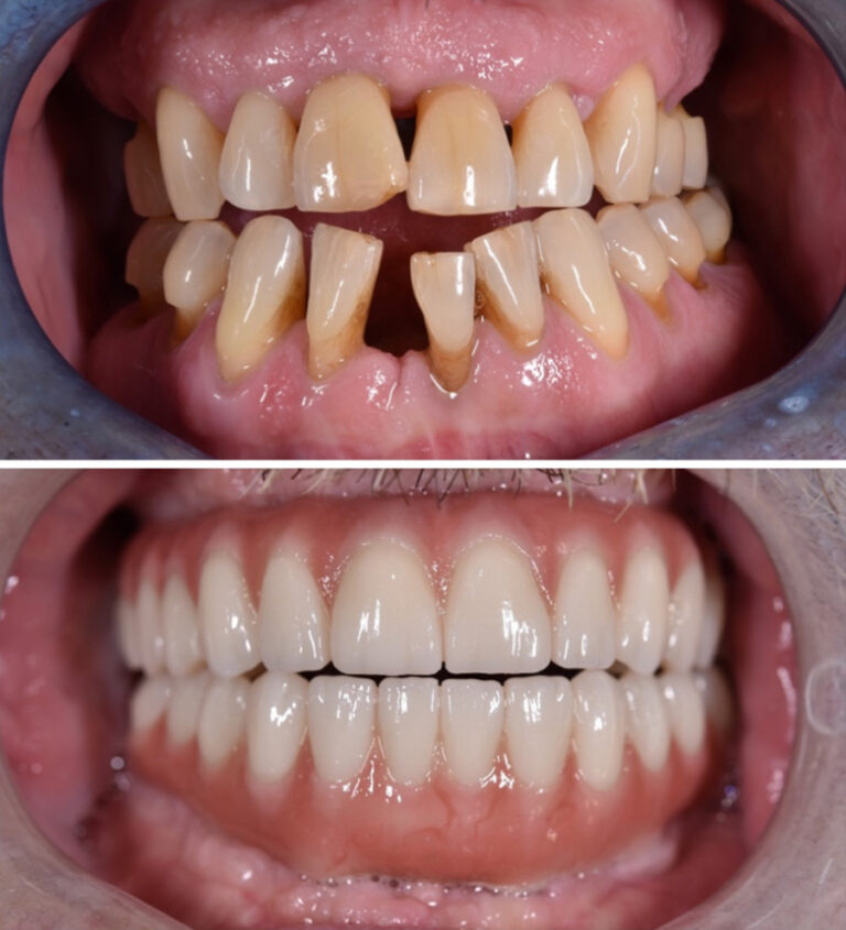
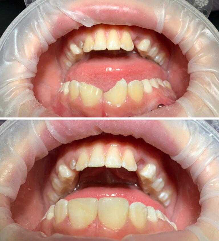
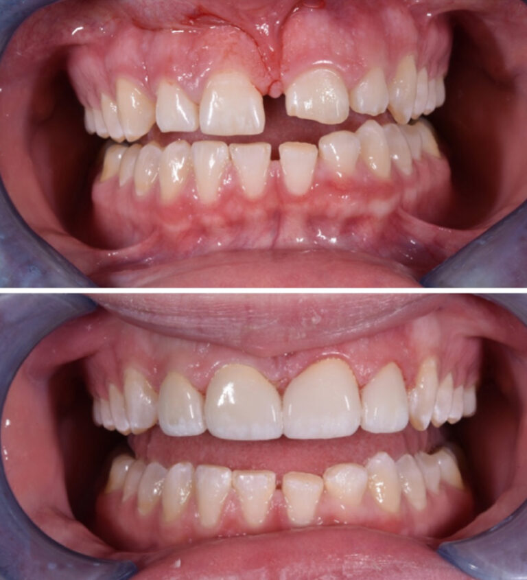
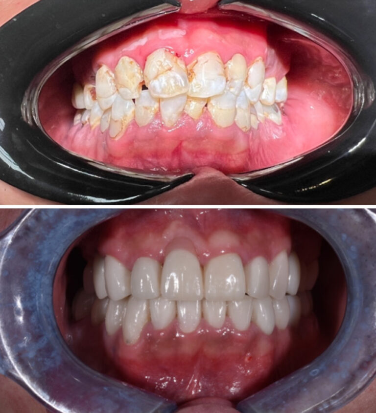
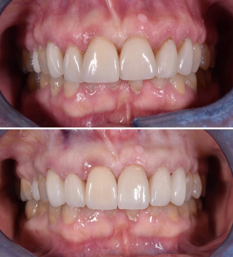
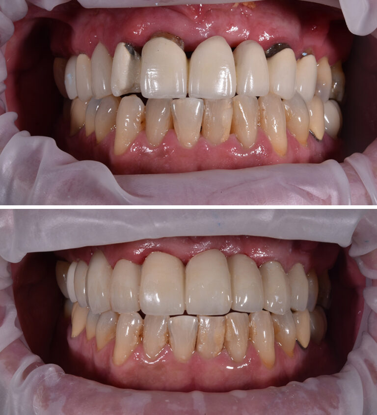
This patient came to us with a smile that had seen years of wear, with several broken and missing teeth making it difficult for her to eat and smile with confidence. She was looking for a solution that would restore both function and aesthetics—without waiting months for results.
With Teeth In A Day, we placed several implants and secured a custom-designed temporary prosthesis in a single visit. This allowed her to leave with a full, natural-looking smile the same day her treatment began. Over the next few months, her implants will heal, and she’ll receive her permanent prosthesis, ensuring long-term durability and comfort
















































