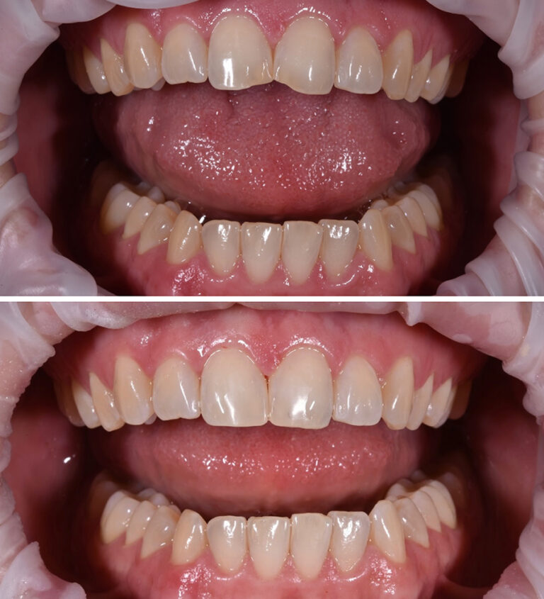
Dental Bonding in Hazlet, NJ for Chipped, Gapped & Discolored Teeth
Problem: Teeth that are chipped, discolored, uneven, stained, or gapped
Solution: Bonding with composite resin. The composite resin used in bonding is a tooth-colored material that is applied directly to the enamel of teeth and shaped to correct the patient’s aesthetic concern. When exposed to a special ultraviolet light, the resin hardens into place.
Alternatives
Porcelain veneers and crowns. While more expensive, they last considerably longer than bonding.